The location and number of language areas in the brain differ among multilingual brain tumor patients
14 Sep 2023

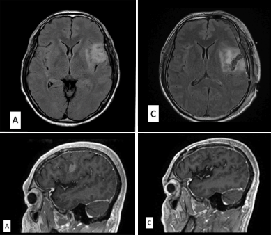
The location of the speech area in the brain may be different or located in several sites in patients who speak multiple languages, and knowledge of potential eloquent sites is important to preserve language function. In this paper, we performed a systematic review of cortical mapping during awake brain tumor surgery in multilingual patients. We also presented sample cases of glioma, a type of brain tumor, located in the speech area of the brain in two multilingual patients, one Filipino and one Indian.
The systematic review yielded seven studies, with a total of 25 multilingual brain tumor patients who underwent awake brain mapping. Most (52 percent) were trilingual, while 20 percent were quadrilingual and 28 percent were pentalingual. All tumors were left-sided, mostly in the frontal lobe, and most were gliomas. The brain mapping findings were variable. Some authors reported a greater number of cortical sites for the first language compared to others. Others found that the first and second languages shared cortical sites whereas the third and subsequent languages were located in distant sites. A larger number of cortical areas were also activated for languages that were learned later in life. Cortical mapping in multilingual brain tumor patients had mixed results in terms of the location and number of language areas, as well as language disturbance and recovery after surgery. These findings may influence management of tumors in the speech area but emphasize the need to tailor surgical approaches and intraoperative testing to each individual patient.
Read the full paper: http://doi.org/10.1016/j.neuropsychologia.2022.108450
